Μαιευτική – Γυναικολογία

Εξειδικευθείς στον Προγεννητικό Έλεγχο & στην Εμβρυομητρική Ιατρική

Fetal Medicine Diploma

Εξειδίκευση στην Ιατρική Εμβρύου στο King’s College Hospital του Λονδίνου

Γυναικολογικό Υπερηχογράφημα

Πολυετής εμπειρία στο γυναικολογικό υπερηχογράφημα 

Υπερσύγχρονο Ιατρείο

Τελευταίας τεχνολογίας εξοπλισμός για βέλτιστη παρακολούθηση της κύησης.

Ο Ιατρός

Dr. Βασίλειος Δημήτριος Πάσχος
MD, MSc, PhDc, FMD

Ο ιατρός Βασίλειος Δημήτριος Πάσχος αποφοίτησε από την Ιατρική Σχολή του ΕΚΠΑ και ειδικεύτηκε στη Μαιευτική – Γυναικολογία, ολοκληρώνοντας την εκπαίδευσή του στο Αρεταίειο Νοσοκομείο.

Εξειδικεύτηκε στην Ιατρική Εμβρύου στο King’s College Hospital του Λονδίνου, με υποτροφία από το Fetal Medicine Foundation και υπό την καθοδήγηση του καθηγητή Κύπρου Νικολαΐδη, αποκτώντας όλα τα πιστοποιητικά επάρκειας στην εμβρυϊκή υπερηχογραφία, την επεμβατική προγεννητική διάγνωση και την εμβρυϊκή καρδιολογία.

Συμμετείχε σε ερευνητικά προγράμματα, δημοσίευσε σε διεθνή περιοδικά και έλαβε το κορυφαίο διεθνές Fetal Medicine Diploma. Ολοκλήρωσε με άριστα το μεταπτυχιακό «Παθολογία της Κύησης» του ΕΚΠΑ, διαθέτει άδεια εκτέλεσης υπερηχογραφημάτων από το ΚΕΣΥ και σήμερα, ως υποψήφιος διδάκτορας, δραστηριοποιείται στον προγεννητικό έλεγχο, την εμβρυομητρική ιατρική και τον γυναικολογικό υπέρηχο στο ιδιωτικό του ιατρείο, καθώς και στα μαιευτήρια ΡΕΑ και ΙΑΣΩ.

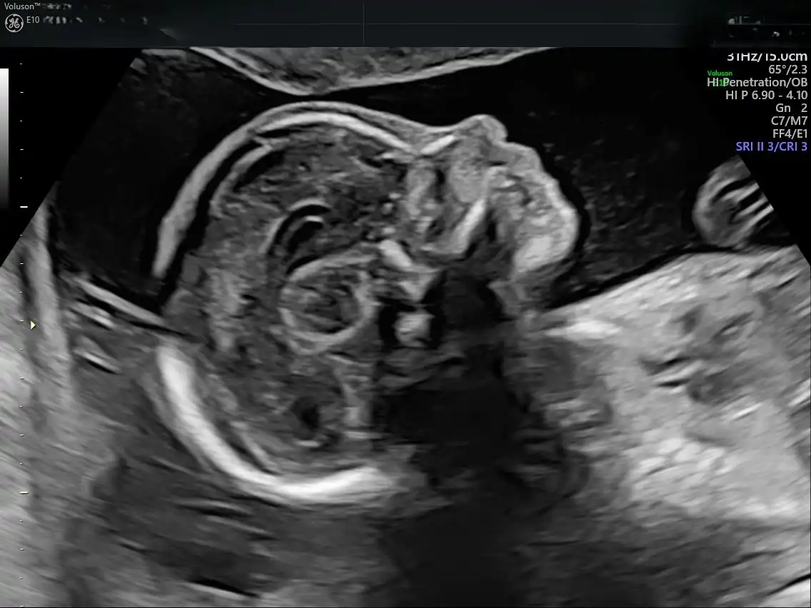
Υπέρηχος Voluson E10 BT19

Αιχμή της τεχνολογίας στην προγεννητική απεικόνιση

Το Voluson E10 BT19 αποτελεί την αιχμή της τεχνολογίας στην προγεννητική απεικόνιση, προσφέροντας εξαιρετική ευκρίνεια εικόνας, προηγμένη 3D/4D απεικόνιση και υψηλή ταχύτητα επεξεργασίας.

Με εξειδικευμένα εργαλεία για τον προγεννητικό έλεγχο και την καινοτόμο τεχνολογία HDlive™, επιτρέπει λεπτομερή και ρεαλιστική απεικόνιση του εμβρύου, ενισχύοντας τόσο τη διαγνωστική ακρίβεια όσο και την εμπειρία των γονέων.

Η χρήση αυτού του υπερηχογράφου είναι καθοριστική για την έγκαιρη ανίχνευση πιθανών ανατομικών ανωμαλιών και τη σωστή παρακολούθηση της κύησης, ενώ ταυτόχρονα προσφέρει μεγαλύτερη ασφάλεια και άνεση στη μητέρα και τον συνοδό της.

Dr. Βασίλειος Πάσχος

Προγεννητικός Έλεγχος

Κλείστε τώρα ραντεβού μαζί μας

Το Ιατρείο λειτουργεί κατόπιν ραντεβού.